矯正歯科
矯正歯科|池袋駅の歯医者
矯正歯科医師は何を基準にして選べばいいの?
多くの人が通院のしやすさや、治療にかかる費用大きさについてまず考えますが、矯正歯科選びについては下記がもっとも大切です。
- 安定した咬み合わせや美しい歯並びを達成できる信頼できる技術で治療が提供される
- 信頼できる技術で治療が提供される
日本では歯科医師免許は国家資格ですが、矯正歯科医には特別な国家資格はありません。ところが、矯正歯科治療というのは高度な専門知識と技術が要求されるため、治療する歯科医師の実力と経験により結果が大きく異なっているのが現状です。
※矯正認定医によるご相談の日は限られているので、ネット受付では、ご対応出来かねます。
詳しくはクリニックに直接お電話ください。
矯正認定医
日本矯正歯科学会認定医による矯正歯科治療
当院では、矯正歯科分野の教室にて歯科博士号を取得した、日本矯正歯科学会認定医が矯正治療を行います。

矯正治療とは
矯正とは、歯並びが不揃いだったり上下の歯がお互いにきちんと噛み合わなかったりする状態から正常な歯並びに整えてあげる治療です。
不揃いな歯並びをそのままにしておくと様々な問題を引き起こす原因となりますので、できるだけ早期に治療を開始することをお勧めします。
また、歯並びがきれいになると口元に自信が持てるようになり、今までのコンプレックスを解消できることもメリットの1つです。

歯並びが悪いことで起こるトラブル
- 食べ物がよく噛めない
- 言葉が明瞭でなくなる
- むし歯や歯周病になりやすい
- 口臭の原因になる
- 顎の関節に負担をかける
- 歯を折ったりケガをしたりしやすい
矯正治療が必要になってくるケース
出っ歯(上顎前突)
出っ歯は、『虫歯や歯周病になりやすい』『前歯を怪我しやすくなる』『咀嚼力が弱くなる』『顎関節症になりやすい』『全身のバランスが悪くなる』など、健康面でのリスクも多く引き起こしてしまう恐れがあります。

受け口(反対咬合)
顎の大きさに問題がある場合、顎の骨の成長によって状態が変化しますので、成長の目処が立つまで長く見守っていく必要があります。また、うまく噛めないだけでなく、聞き取りにくい話し方になるケースも多く見られます。

乱ぐい歯・八重歯(叢生)
歯並びが凸凹になってしまう要因は、歯が並ぶスペース(顎の骨の大きさ)と、それぞれの歯の大きさがアンバランスなことです。この状態では、凸凹の影や凹みの奥まで歯ブラシが行き届かないために汚れが残りやすく、むし歯や歯周病の原因にもなるため注意が必要です。

開咬
前歯に上下方向の隙間ができる状態の事を指します。
奥歯でしっかりと噛んだ際にも上下の前歯が合わないケースが多い為、他の健全な歯に極端に負担がかかる事になります。
この場合咀嚼自体にも悪影響が出る為、早めのご相談をお勧めします。

矯正治療の種類

マウスピース矯正
ワイヤーやブラケットを一切使わない矯正です。透明に近く目立ちにくいので、一般的に、装着していることにほとんど気づかれません。画期的な装置ですが、どなたにでも適応できるわけではありませんので、まずはご相談ください。

ワイヤー矯正
一般的なワイヤー矯正は、痛みの少ない装置を導入しています。また、ワイヤーの色やワイヤーについている金属のブラケットが透明のもの、白いものなど、目立たないものもご用意しています。

舌側矯正
歯の裏側に矯正装置をつけて、歯を移動させていく治療方法です。舌側矯正は、基本的に外からは矯正装置が見えず、他人に気付かれる事はありません。
お口の中をのぞきこんだりしない限り他人にはわかりにくいのが最大のメリットです。

小児矯正
永久歯が生え揃ってからの成人矯正を行う場合には、健康な歯を抜歯しなくてはいけない可能性も高くなりますが、小児矯正の場合は成長の力に合わせてあごを正しい位置に誘導することができるため、抜歯をせずに歯並びを整えることができる可能性が高いだけでなく、受け口や出っ歯などの予防をすることもできます。
部分矯正
部分矯正は、全体ではなく気になる部分だけを整える歯科矯正です。通常の矯正治療よりも比較的短期間(2ヶ月~1年)に、そして比較的安価に矯正治療ができるのがメリットです。歯をきれいに並べることができますが、咬み合わせを整えることは難しい処置です。
マウスピース矯正
当院一番のおすすめです!

インビザラインはアメリカのアライン・テクノロジー社が提供する、世界100カ国以上で800万人を超える治療実績を持つマウスピース矯正メーカーのひとつで、新しい素材の導入や治療に関する研究などの独自のテクノロジーを用いて美しい歯並びを目指せるシステムです。

インビザラインの特徴
薄くて透明なマウスピースを歯にはめるだけなので目立ちにくく普段の生活に馴染みやすい。
食事や歯磨きの際に取り外せるのでほとんどいつも通りの食事と口腔ケアが可能です。新しい装置を7日から14日ごとに交換するため衛生的です。
ワイヤー矯正と比べて軽い力が均一に掛かるため痛みを感じにくく、ブラケットやワイヤーを装着しないため口に当たる痛みも軽減されます。
必要なマウスピースが治療前にすべて揃うため、簡単な処置で少ない回数の通院回数を実現できます。
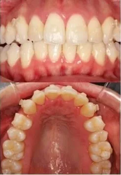
治療症例
インビザライン装着

治療前

治療中

治療後

インビザライン治療の流れ
- STEP1
カウンセリング - 実際に歯並びを見せていただき、治療期間や費用の目安をご説明します。疑問点、不安に思うことなどがあれば、お気軽にご相談ください。

- STEP2
口腔内の精密検査 - 個々の患者様に最適な治療計画を立てるために、お顔のレントゲン撮影・歯の模型・顎関節検査・う蝕や歯周疾患の検査等を行います。

- STEP3
診断(スキャニング) - 口腔内スキャナーにて、お口の中を撮影していきます。自分の歯がどのように動いて正しい位置に移動するのかを、立体的なアニメーション画像によって確認できます。

- STEP4
診断(スキャニング後) - 精密検査後、検査結果をお伝えします。治療方法や期間、治療費のお支払方法など、あらゆる面で納得してマウスピース矯正を始めていただけるよう、ご説明させていただきます。

- STEP5
口腔内清掃・ブラッシング指導 - マウスピース矯正を開始する前に、虫歯や歯肉炎その他の歯周疾患にならないよう、歯磨き指導及び口腔内清掃を受けていただきます。

- STEP6
装置装着 - マウスピースの装着は、1日20時間以上が目安になります。飲食や歯磨き時以外は装着するようにしましょう。マウスピースの交換は2週間ごとに交換していきます。

- STEP7
保定期間 - きれいな歯並びを持続するために保定装置(リテーナー)を装着します。ほぼ透明で目立たなく、高い耐久性もあり、取り外し可能なマウスピース型の保定装置です。装着後、2~6カ月に1回の来院で、かみ合わせや歯の状態をチェックします。

よくある質問
Q. 相談するだけでも費用はかかりますか?
A. 無料で相談いただけますのでお気軽にご予約ください。
Q. インビザラインで治療できる歯並びに制限はありますか?
A. ワイヤーを使った通常の矯正治療の場合と同様の適用範囲と考えられています。ただし、担当医の治療方針、使用する装置の種類等によって対応できる範囲が異なります。詳しくは歯科医院へご相談ください。
Q. 子どもでもインビザラインを使った治療はできますか?
A. 乳歯と永久歯が混合しているお子様のためのインビザライン・ファーストをご利用いただくことができます。6歳~10歳前後の患者様の顎の発育をサポートし、これから生えてくる永久歯のためのスペースを作り、同時に歯並びを整えるようにデザインされています。
Q. インビザラインの矯正治療はどれくらい痛いですか?
A. 痛みの感覚に個人差はありますが、インビザラインは、段階的に歯を動かしながら歯並びを矯正するので、一般的に痛みが少ないと考えられています。
Q. 治療の終了後にも保定装置をつける必要がありますか?
A. はい。従来型のワイヤーを使った矯正治療とマウスピースを使った矯正治療、どちらも治療後には歯を最終位置に維持するためにリテーナー(保定装置)を装着する必要があります。インビザライン・ジャパンが提供するビベラ・リテーナー(保定装置)は透明に近く目立ちにくく、見た目は他の当社マウスピース製品とほとんど変わりません。
Q. ネット予約はできますか?
A. 矯正認定医によるご相談の日は限られているので、ネット受付では、ご対応出来かねます。
詳しくはクリニックに直接お電話ください!048-729-4173
医薬品医療機器等法(薬機法)に関する記載事項
- インビザライン完成物は、日本国内において薬機法未承認の矯正装置であり、医薬品副作用被害救済制度の対象外となる場合があります。尚、インビザラインの材料自体は、日本の薬事認証を得ています。
- 「インビザライン」は米国アライン・テクノロジー社の製品の商標であり、インビザライン・ジャパン社から入手しています。
- 日本国内においては、同様の医療機器が薬事認証を得ています。
- 「インビザライン・システム」は、世界100カ国以上の国々で提供され、これまでに900万人を超える患者様が治療を受けています。
(2020年10月時点)
ワイヤー矯正
ワイヤー矯正とは、「矯正」と聞いて一般的にイメージされる、ブラケットを使用した治療方法です。歯にワイヤーを通すことのできる装置(ブラケット)を装着し、ワイヤーをそこに通して少しずつ歯を移動させていきます。
矯正治療の中には治せる症例が限られてくる治療もありますが、ブラケット矯正は、ほとんどの不正咬合に対応可能な矯正装置です。

インビザラインとワイヤー矯正の比較
| インビザライン | ワイヤー矯正 | |
|---|---|---|
| 見た目 | 分かりづらい | 目立ちやすい |
| 取り外し | 取り外しできる | 取り外しできない |
| 金属アレルギー | なし | 要相談 |
| 衛生面 | 手入れが容易 | 手入れが困難 |
| 通院期間 | 2週間から数カ月 | 月に1回程度 |
| 痛み | 少ない | 装着後4~5日間痛む |
| 歯の削合 | 必要な場合がある | ほぼしない |
抜歯が必要な矯正も対応
矯正専門のクリニックの多くは抜歯を行う器具を取り揃えてないため、抜歯を他院に依頼することがあります。
当院では抜歯の専門医が在籍しているため、院内で全ての作業を完結できます。
※該当の患者様は税込¥11,000の自費負担となります。
